Case Study
Gum Infection
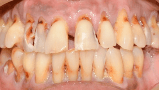
What was the problem?
The patient was suffering from Generalized Periodontitis.
What caused the problem?
A serious infection of the gums is known as Periodontitis. It was observed there was accumulation of bacteria on teeth and gums which led to this case. Upon progression of time, the damage to bones and teeth has been observed.
Which treatment was performed?
The patient underwent Full mouth rehab with 12 implants treatment. The final stage patient had an Implant-supported denture.
Before

After


Dr. Datta Malyavantham
Founder, Chairman
BDS, DDS, FICOI (USA)
Speciality:
Cosmetic Dentistry and Veneers, Smile Design, Implants & Oral Surgery

Dr. Akshay Nigam
Senior Associate - Periodontics & Oral Implantology
BDS, MDS – Periodontics & Oral Implants
10+ Years of Experience
Speciality:
Wisdom Tooth Extraction, Dental Implants, Laser Dentistry, Micro Surgery, Flap Surgery, Esthetic Dentistry

